セラミックインレー
虫歯による浸食部分を削った後に、セラミックを詰める治療方法のことを言います。
金属とは違い、本当の歯との境目がつかないほど美しく自然な仕上がりになります。
せっかく治療するのであれば、セラミックを使用して治療した歯は、自然の歯と同じように見え、僕たち歯医者も見間違えることがあります。年数が経過しても変色しにくく、耐久性にも優れており、美しさだけでなく長持ちすることが「セラミック」の特徴です。
生体親和性が高く、耐久性に優れた白色の歯科材料である「セラミック」を使用し、虫歯で削った部分に詰めたり、被せたり、歯の表面に貼り付けることで歯並びや歯の色、形を整えたりすることを「セラミック治療」といいます。
保険適用対象の素材で詰めたり被せたりすると見た目が悪かったり、歯茎の変色を引き起こしたり、金属アレルギー誘発の原因になることがあります。
「虫歯の治療をする時に、白い材質を使いたい」
「以前治療した部分を白い材質の物に取り替えたい」
と希望される方や、金属アレルギーの方にセラミック治療を勧めております。
虫歯による浸食部分を削った後に、セラミックを詰める治療方法のことを言います。
金属とは違い、本当の歯との境目がつかないほど美しく自然な仕上がりになります。
歯の根の部分しか残っていない場合や、虫歯などによって失われた部分が大きい歯、大きさが不揃いな歯にセラミックのクラウン(冠)を被せて、歯の色や形、歯並びなどをよく見せる方法です。
ホワイトニングでは改善が困難なテトラサイクリン(抗生物質)による変色や、目立つ金属のかぶせ物をセラミックに変更することで、自然な白い歯を手に入れることもできます。
前歯の表面をわずかに削り、そこに特殊な技術で製作した薄いセラミックのチップを貼り付ける方法です。
特殊な接着剤で貼り付けますので、剥がれてしまう心配はありません。
歯を削る部分はエナメル質の表面のごく一部だけですので、歯へのダメージはほとんどありません。
ホワイトニングでは白くできないテトラサイクリン(抗生物質)による歯の変色や、表面のでこぼこ、一部が欠損している歯などにお勧めです。
また、少しの歯並びの修正であれば、矯正を行なうよりも短期間でご希望の歯並びと白い歯を手に入れることができます。
当院ではメタルフリーを推奨しており、自費診療ではセラミックやジルコニアを使用しております。
ジルコニアは人工ダイヤモンドとして知られるセラミックの一種で、金属よりも高い強度を持っています。
また、人工関節などの医療用素材としても使用されており、体に馴染みやすい素材です。
セラミックやジルコニアは年々改良が進んでおり、色調や強度については近年で著しい進化を遂げています。
セラミック治療をご希望の患者様には、専属のカウンセラーが患者様のご要望をお伺いし、
歯の作製時には担当医と技工士が連携して、患者様お一人お一人のお口に合わせて丁寧な治療を心がけております。
セラミックだけで作る、かぶせ物(クラウン)です。
天然歯に近い色合いを出すことができ、変色しません。
唾液の吸収がないため、長年の使用でも変色しにくく審美的に優れています。
| 長所 | ・非常に見た目が良く、半永久的に変色しない ・汚れ(プラーク)が付きにくい ・金属を使用しないので、金属の溶け出しによる歯や歯ぐきの変色、金属アレルギーなどが起こる心配がない ・生体親和性の高い素材を使用 |
|---|---|
| 短所 | ・天然歯より硬いので、噛み合う歯を痛めることがある ・極度に強い力が加わると割れる可能性がある。 |
価格 | 143,000円(税込) |
内側から外側まで、ジルコニアだけで作られたクラウンです。
強度が極めて高く、欠けたり擦り減ったりすることがほとんどないため、噛む力が強い奥歯の治療に適しています。
| 長所 | ・金属を使用しないので、金属の溶け出しによる歯や歯ぐきの変色、 金属アレルギーなどが起こる心配がない ・汚れ(プラーク)が付きにくい |
|---|---|
| 短所 | ・色調は指定できずに真っ白に仕上がるため、周りの歯と色調が合わない ・極度に強い力が加わると割れる可能性がある。 ・歯よりも硬いので、噛み合わせの歯が欠けたり、割れたりする可能性がある ・極度に強い力が加わると割れる可能性がある |
価格 | 88,000円(税込) |
セラミックだけを使用した詰め物(インレー)です。
金属を一切使わないので、天然歯に最も近い色合いが出せます。また、唾液の吸収がないため、長年の使用でも変色しにくく審美的に優れています。
| 長所 | ・非常に見た目が良く、半永久的に変色しない ・汚れ(プラーク)が付きにくい ・金属を使用しないので、金属の溶け出しによる歯や歯ぐきの変色、 金属アレルギーなどが起こる可能性が低い |
|---|---|
| 短所 | ・ジルコニアよりも強度は劣る ・天然歯より堅いので、噛み合う歯を痛めることがある |
価格 | 77,000円(税込) |
レジン(プラスチック)と、セラミックを混ぜたもので作られたインレー(詰め物)です。
適度な粘り強さを兼ね備えていますので、噛む力の強い方や、歯ぎしりをする方、食いしばりの強い方の奥歯の詰め物としては最も適しています。
仕上がりは保険適用のレジンよりもキレイに仕上がりますが、レジンを含まないセラミックインレーに比べると、透明感に欠け、
キレイさも劣ります。
| 長所 | ・硬すぎず軟らかすぎず、粘り強さがあるためインレー(詰め物)に適している ・オールセラミックよりも柔らかく、周囲の歯にダメージを与えにくい ・金属を使用しないので、金属の溶け出しによる歯や歯ぐきの変色、 金属アレルギーなどが起こる可能性が低い |
|---|---|
| 短所 | ・素材にレジン(プラスチック)が混合されているため、年数が経つと水分などを吸収して変色します。 ・オールセラミックより傷がつきやすいため、表面に汚れ(プラーク)が付着しやすい ・オールセラミックより軟らかく、磨り減りやすい |
価格 | 55,000円(税込) |
歯の表面を少し削り、つけ爪(ネイル)のようにセラミックを歯の表面に貼り付けます。 ほとんど歯を削らずに色や形を変えることができるメリットがあります。
| 長所 | ・色だけでなく、形(すきっ歯など)も短期間で修正可能 ・ホワイトニングでの「白」よりもっと白くできる ・生まれつき色が濃い歯でも、短期間で白い歯になる ・削る量が少ないので痛みがなく、麻酔は基本的には不要 |
|---|---|
| 短所 | ・自分の歯を削らなくてはならない ・ホワイトニングに比べて高価 ・使っていくうちに貼り付けたところが割れたりすることがある |
価格 | 110,000円(税込) |
| 見た目 |
変色 |
摩耗 |
体との調和 | |
| オールセラミック | ◎ | ◎ | ○ | ◎ |
| 単色のジルコニアクラウン | △ | ◎ | ◎ | ○ |
| セラミックインレー | ○ | ◎ | ◎ | ○ |
| ハイブリッドセラミックインレー | ○ | △ | △ | △ |
| ラミネートベニア | ◎ | ◎ | ◎ | ◎ |
保証期間中における通常使用での破損や脱落、不具合が生じた場合、当医院で発行する右の保証書をお持ち頂ければ、当院において下記の期間内で修理、再装着や再作成をさせていただきます。
保証書は再発行しませんので、保証期間中は大切に保管してください。
| 単色のジルコニアクラウン | 5年 |
|---|---|
| セラミックインレー、 ハイブリッドセラミックインレー |
|
| オールセラミック | 10年 (※2) |
| ラミネートベニア (※1) |
※1 ラミネートベニアの脱落や破損がある場合は、セラミックのクラウンへの変更をお勧めします。
※2 10年保証には、下記のように患者様負担があります。
| 5年以内 | 全額保証 |
|---|---|
| 5~6年未満 | 50%患者様負担 |
| 6~7年未満 | 60%患者様負担 |
| 7~8年未満 | 70%患者様負担 |
| 8~9年未満 | 80%患者様負担 |
| 9~10年未満 | 90%患者様負担 |
| 10年以上 | 100%患者様負担 |
※以下の項目に該当する場合は、保証期間中であっても有償となります。
※本ページに掲載している金額は、治療実施当時の料金です。
現在の料金体系や保険適用状況とは異なる場合がございます。
記載内容はあくまで参考情報であり、最新の料金・治療内容については必ず事前に当院へご確認ください。


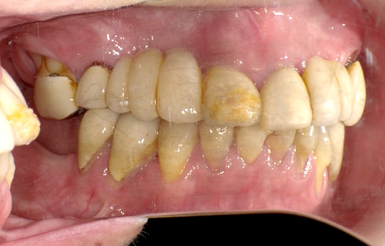
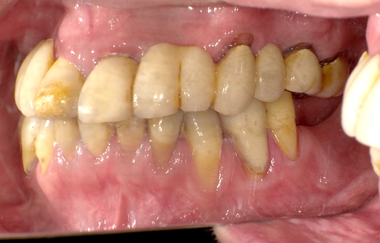
| 主訴 | 見えるところを清潔感のある綺麗な歯にしたい。 |
|---|---|
| 治療 期間 |
約3年半(保険診療・歯周病治療・インプラントを含む) |
| 治療費 | 約1,400,000円(保険診療別途) |
| 治療 内容 |
虫歯治療や根管治療を行い右上1箇所はインプラントを埋入。 奥歯以外にセラミックの被せ物を使用。 削る量を減らす為、前歯にはベニアを使用。 |
| 治療の リスク |
仮の歯の期間、脱離や破折といった不便さあり。 |






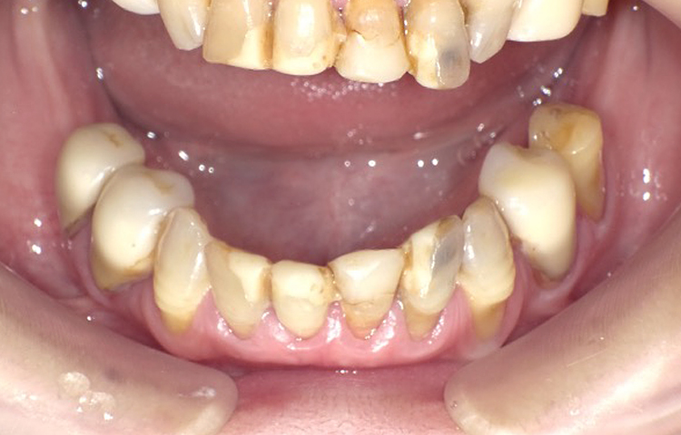
| 主訴 | 奥歯がないため、噛みにくい。 |
|---|---|
| 治療 期間 |
約1年9ヶ月 |
| 治療費 | 781,000円(税込) |
| 治療 内容 |
左下2-右下2ジルコニアクラウン、左下4番セラミッククラウン、 左下6番と右下6番ジルコニアインプラント |
| 治療の リスク |
IPの外科手術後、痛み・腫れ・知覚過敏。 治療後は、定期的なメンテナンスが必要。 |