インビザラインは、矯正専門医だけが取り扱える世界的に有名なマウスピース矯正です。
フォローアップも確実で、インビザラインを使用できる歯科医師は矯正認定医、もしくはそれ相当の臨床経験が必要であるとされています。
当院ではインビザライン社から認定された矯正専門医による治療を行っております。
マウスピース矯正(インビザライン)
こんな「歯並びのお悩み」は
ございませんか?
- デコボコ
している - 受け口が
気になる - すきっ歯を
治したい - 口が
閉まらない - かみ合わせが
深い - 出っ歯で
悩んでいる
当院が
おすすめする治療で全て解決!
透明で目立たない、
取り外しが可能な
マウスピース矯正
インビザラインとは「アライナー」と呼ばれる、透明に近いマウスピース型の矯正装置を使って歯並びを矯正する歯科矯正システムです。
患者様一人ひとりの歯に合わせて作製されるマウスピース型の矯正装置を、ご自宅で2週間に1度交換しながら少しずつ歯を動かしていくので、通院の回数が少ないのが特徴です。
インビザラインは世界で45ヵ国以上の国々で行われている矯正治療です。
矯正治療についてのご相談は初回無料です。 歯並び、お口の状態に関するお悩みや不安など、何でもご相談ください。
無料ご相談窓口はこちら「矯正治療をしたくても、見た目が気になる」という方へ
インビザラインは、ワイヤー(針金)を使用しない矯正治療ため、見た目もほとんど気になりません。
「人前で笑うのが恥ずかしい」
「ご飯を食べるときの口元が気になる」
といったマイナスな見た目を気にする必要がないため、いつも笑顔を見せることができます。
見た目を気にされる方や、金属アレルギーのある方におすすめの矯正です。
矯正専門医だけ取り扱える、
世界的に有名なマウスピース矯正
インビザラインの特長
1.透明で目立たなく、話しやすい
薄くて透明に近いのマウスピース型の矯正装置を使うので、周囲から気づかれることがほとんどなく、営業や接客などのお仕事をされている方でも、さりげなく歯並びをきれいにすることができます。
初めて矯正装置をつけた時は多少の違和感やしゃべりづらさはあると思いますが、1週間程度で慣れてきます。
2.取り外しができて衛生的
食事や歯磨きの時に取り外しができるため、いつでも簡単に歯のお手入れができ、歯や歯周組織を清潔な状態に保つことができます。
3.身体に優しい
インビザラインで使用するアライナーはプラスチック製の為、金属アレルギーを引き起こす心配がありません。金属アレルギーで矯正治療を断念された方も、安心して治療を受けて頂くことができます。
4.世界中で認められている
信頼度の高い矯正装置
インビザラインは「クリンチェック」と呼ばれる独自の3次元シミュレーションソフトを使った治療開始から完了に至るまでの総合的な治療計画の立案・検討から始まります。
歯の移動を画像や動画で把握することができるため、誤差の少ない正確な治療が可能になります。
世界の45カ国以上の国々で提供されており、沢山の患者様が治療を受けられています。
インビザラインは、より確実で快適な治療が提供できるよう日々改良が加えられ、進化し続けている矯正システムです。
5.通院する回数が少ない
インビザラインは治療前に、治療開始から完了までに必要なアライナーをすべて製作するため、従来のワイヤー矯正より少ない通院回数での治療が可能となります。
(※基本的に2ヶ月に1回の通院となります)
インビザラインで
どのように歯が動いていくのか
インビザライン治療でこのクリンチェック(※インビザラインでどのように歯が動いていくのか)をドクターが一つ一つ作成しております。
このクリンチェックは、インビザラインをする上で、非常に重要でこの技術は大変難しいです。しかし、ドクターはこれと実際の患者様の経過を比較することで、矯正の管理を行っております。
患者様は出来上がったクリンチェックで歯の動きをしっかり確認することができ、治療経過を明確にイメージすることが可能になります。クリンチェックの作成には¥33,000(税込)頂戴しております。
インビザライン治療時の注意
インビザラインは、最低でも1日20時間、一般的には22時間アライナーを装着しておく必要があります。矯正装置を外している時間が長くなってしまうと、歯が思うように動かず治療期間が延びてしまいます。
飲食時はアライナーを取り外す必要があるため、会食の多い方は装着時間が短くなってしまいます。ご自身で取り外しができてしまうため、つい怠けてしまうこともあるでしょう。より良い治療結果のためには、ご自身できちんと管理することがとても大切になります。
インビザラインとワイヤー矯正との比較
| インビザライン | ワイヤー矯正 | |
| 治療方法 | 透明で取り外し可能なアライナー(マウスピース)を使用 | ワイヤーとブラケットを使用する固定式の矯正装置を使用 |
| 矯正装置の 見た目 |
透明に近いマウスピース型のため、装着していても目立ちにくい | 歯にブラケットが固定されているため、笑うと目立つ場合があります |
| 矯正装置の 取り外し |
簡単に取り外しができます | 治療が完了するまで、取り外すことは難しいです |
| 金属アレルギーの影響 | 金属を使用しないため心配がありません | 金属製のため、口腔内への影響がでる場合があります |
| 治療中の歯のお手入れ | アライナーを取り外して、普段どおりの歯のお手入れが可能です | 矯正装置が歯に固定されているため、歯と歯肉全体のお手入れが難しくなります |
| 治療の実感度 | 段階的にアライナーを交換することにより、矯正治療の進行度合いが確認できます | 装置が固定されているため、治療の進行度合いが分かりにくい |
マウスピース矯正を検討中の方へ
森本 洋孝
毎月最終週の火曜日にインビザラインというマウスピース型矯正装置を用いた歯列矯正担当医として出勤しております。
口元を整える、歯を並べるだけでなく、しっかり噛むことが出来るお口を患者さまにご提供できるよう日々診療に従事しております。
インビザライン矯正治療は、綿密な治療計画と患者さまとの協力関係が揃うことで達成される矯正治療です。歯ならび、噛み合わせでお悩みの方はどんな些細なことでも結構ですので、お気軽にご相談ください。
また、加速矯正、遠隔診療も行っております。早く動かす、通院間隔を減らす矯正治療も対応可能です。
インビザライン治療の流れ
-
初診カウンセリング・検査
カウンセリングスタッフがお口の状態に関する疑問やお悩みなどお伺いいたしますので、お気軽にご相談ください。
カウンセリングの後は、歯並びやかみ合わせ、骨の状態、虫歯・歯周病の有無を調べるために、レントゲン撮影や口腔内写真撮影、歯型などの資料を取ります。 - 矯正専門医による診断 インビザライン社から認定された矯正専門医が、検査の資料を元に、インビザラインでの治療が可能かどうか診断させて頂きます。インビザライン治療のメリット・デメリット、治療期間などについても分かりやすくご説明いたします。
-
インビザライン専用の型どり
iTeroを使用して歯並びをスキャンします。
※iTeroとは口の中をセンサーでスキャンして、3Dで歯並びを見ることが出来る装置です。 スキャンは、5~10分で終わり、患者様は口を開けているだけで大丈夫です。
※お口の状態により、虫歯や歯周病などの治療を先に行う場合があります。
※矯正治療に必要な抜歯がある場合は、アライナーが日本に到着する2週間前に行います。1本につき別途11,000円(税込)の抜歯費用が必要になります。 -
治療計画の作成と説明
「クリンチェック」と呼ばれる三次元シミュレーションソフトで、最終的な歯並びの状態、歯の切削の有無、治療期間などの適切な治療計画を作成します。
治療開始から完了まで、ご自分の歯がどのように動いていくのかを動画でご確認していただくことができます。 -
矯正治療の開始
アライナーの着脱の練習や、お手入れについてご説明いたします。治療開始直後は少しきつい感じがしますが、徐々に慣れていきます。
基本的に1日20~22時間は装着し、飲食や歯磨き、デンタルフロスを使用する時以外は装着するようにしましょう。
矯正専門医から指示された期間(2週間)ごとに次のアライナーに交換することで、歯が少しずつ矯正されてきれいな歯並びになります。 -
保定期間・メンテナンス
歯を動かす治療が終了した後は保定装置(リテーナー)を製作し、整えた歯並びの後戻りを防ぎます。歯並びを改善しても、口腔内の癖などが原因で元の状態に戻ってしまうことがあります。
3ヶ月に1回ご来院頂き、歯並びや、かみ合わせの確認、歯のクリーニングを行います。後戻り防止のため、長期間の保定装置の使用と定期的なメンテナンスをお勧めします。
約2ヶ月に1回ご来院頂き、かみ合わせに問題がないか、歯が順調に移動しているかなどの確認や、アライナーの調整を行います。治療期間は患者様によって異なり、最短で6ヶ月の方や3年以上かかる方もいらっしゃいます。
※予想していた通りの動きがみられない場合は、補助矯正をはじめとする様々な装置が必要になる場合があります。
保定装置とは
移動した歯が元の位置に戻ろうとする「後戻り」を防止するための装置のことで、取り外しのできるタイプ(可撤式リテーナー)と、取り外しができないタイプ(固定式リテーナー)があります。
可撤式(取り外し可能)リテーナー
| クリアリテーナー | アクリル樹脂やラバー系の材料でできた、透明なマウスピースタイプの保定装置です。 |
|---|---|
| ベッグリテーナー | 表側全体の歯並びをワイヤーが包み、裏側を透明なプラスチックのプレートで取り囲んで歯の移動を防ぎます。 |
| QCMリテーナー | ベッグリテーナーと同タイプのリテーナーですが、前歯の部分が特殊な透明プラスチックで出来ているため、 目立ちにくいという特徴があります。 |
固定式(取り外しできない)リテーナー
| リンガルボンデッドリテーナー | 歯の裏側に細くて丈夫なワイヤーを接着して固定し、後戻りを防ぎます。装置が小さく、目立ちにくいのが特徴です。固定式なので取り外しは出来ませんが、保定に優れています。 |
|---|
保定装置の再作製について
紛失や破損などで保定装置の修理・作り直しをする場合は、下記の料金がかかります。
| 可撤式リテーナーの再製 | 5,500~22,000円 |
|---|---|
| 固定式リテーナーの再製 | 5,500円 |
※全て税込表示になります。
無料矯正相談 受付中
矯正治療についてのご相談は初回無料です。 歯並び、お口の状態に関するお悩みや不安など、何でもご相談ください。
無料ご相談窓口はこちらインビザラインの治療費
お支払い方法について
現金やクレジットカードでの分割払いの他に、36回払いまで金利手数料が無料なデンタルローン(歯科治療専門のローン)もご用意しています。
患者様のライフスタイルに合わせた、無理のない範囲でのお支払い方法をご提案いたします。 また、インビザラインは医療費控除の対象にもなりますので、お気軽にご相談ください。
基本料金
下記は基本料金になります。
| 初診・相談料 | 無料 |
|---|---|
| 精密検査・診断料 | 55,000円(税込) |
| 通院1回ごとの調整料 | 6,600円(税込)/ 回 |
小児矯正:インビザラインファースト
| 両顎矯正 | 583,000円/月額16,100円~(36回払い) |
|---|
大人部分矯正:インビザラインライト(14枚)
| 片顎矯正 | 385,000円/月額10,600円~(36回払い) |
|---|---|
| 両顎矯正 | 550,000円/月額15,200円~(36回払い) |
大人部分矯正:インビザラインiGo(21枚)
| 片顎矯正 | 352,000円/月額9,700円~(36回払い) |
|---|---|
| 両顎矯正 | 517,000円/月額14,300円~(36回払い) |
大人全顎矯正:インビザラインコンプリヘンシブ
| インビザライン枚数制限なし | 880,000円/月額24,444円~(36回払い) |
|---|
※上の歯、下の歯のどちらか片側だけ矯正治療した場合でも、一律の治療費になります。
※インビザライン治療のために歯を抜歯する場合は、1本につき11,000円(税込)、アライナー製作前に虫歯などの治療を行う場合は、治療費が別途必要になります。
インビザラインについて
よくいただくご質問
Q.治療期間はどれぐらいですか?
A.治療期間は、治療方針や治療計画等によって異なりますが、従来のワイヤー矯正治療とほとんど変わりがなく、約2~5年程度かかります。
歯を大きく動かす必要があるケースでは、フルワイヤー矯正の方が効率的に歯を移動できるため、結果的に治療期間が短くなる場合があります。
Q.治療に痛みはありませんか?
A.痛みの感覚には個人差がありますが、マウスピース矯正は、ブラケットやワイヤーを使用する従来の矯正装置と比べると痛みは少ないですが、全くないわけではありません。
Q.マウスピースだけで、
本当に歯が動くのでしょうか?
A.歯は骨の中の歯根膜という繊維組織に支えられていて、持続的な優しい力が加わると動くようになっています。 従来のワイヤー装置は、歯の表の1点から力が加わるのに対して、マウスピース型の矯正装置は、歯を包み込むようにして優しく力が加わるので動きます。
Q.年齢に制限はありますか?
A.当院では、永久歯が生え揃う12~13歳から矯正を始めるのが一番ベストだと考えています。12歳未満の方の治療も可能ですが、永久歯が生え揃うまでの期間も矯正治療を行わなければならないため、治療期間が長くなってしまいます。
Q.ワイヤー矯正とインビザラインでは
どちらが治療期間が短いのでしょうか?
A.ワイヤー矯正と比較しても治療期間に大きな差はありません。歯の状態によっては、ワイヤー矯正より早くなる方もおられます。
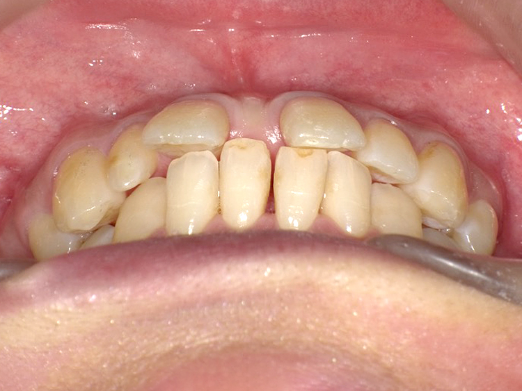
マウスピース矯正の治療症例
※本ページに掲載している金額は、治療実施当時の料金です。
現在の料金体系や保険適用状況とは異なる場合がございます。
記載内容はあくまで参考情報であり、最新の料金・治療内容については必ず事前に当院へご確認ください。
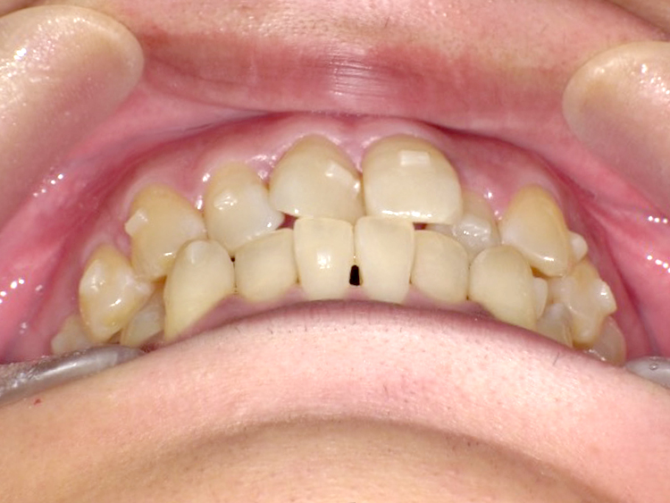
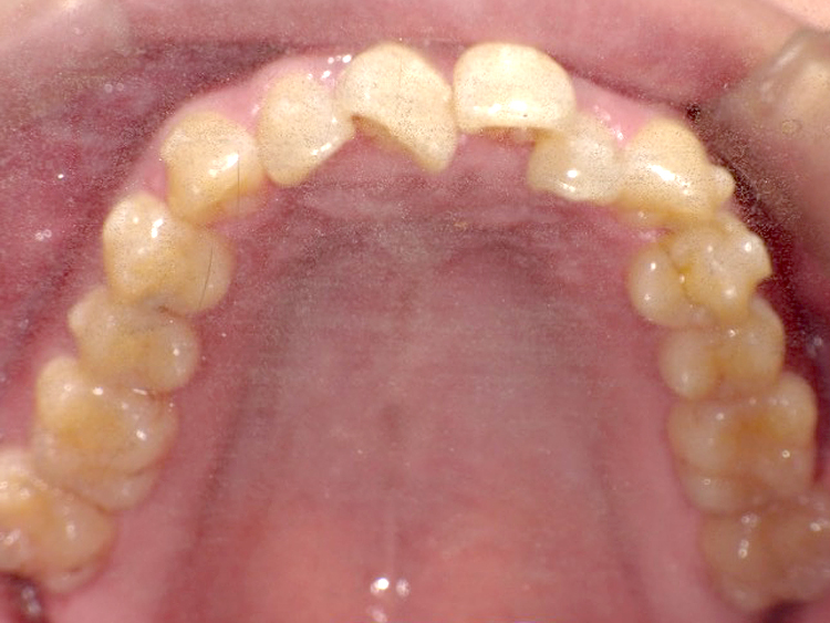
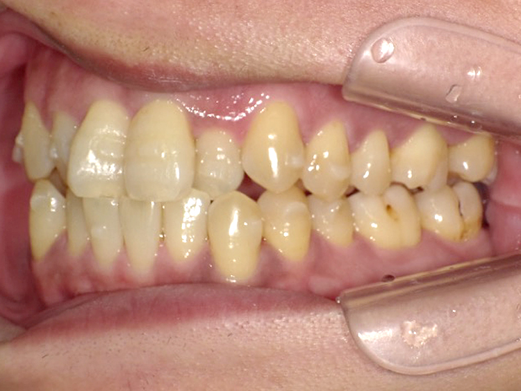
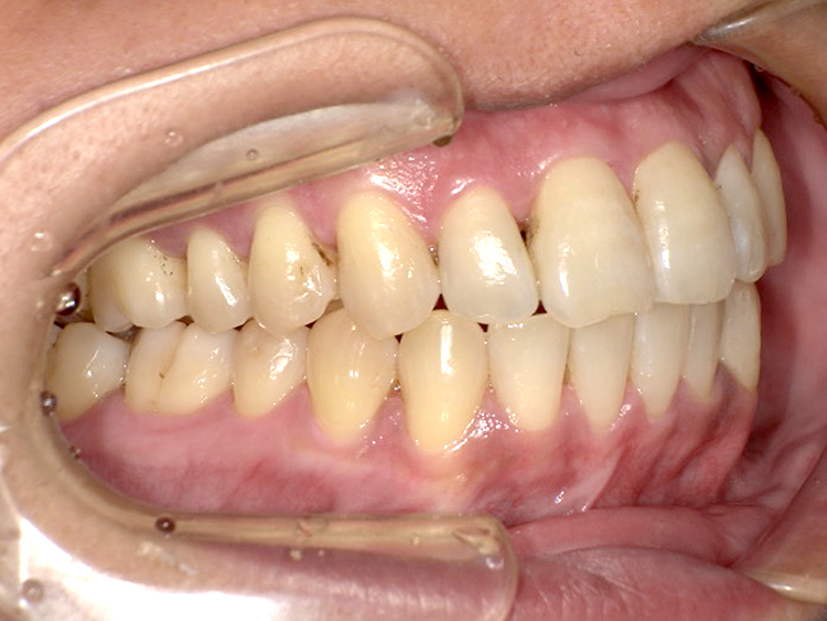
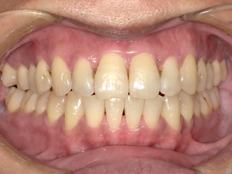
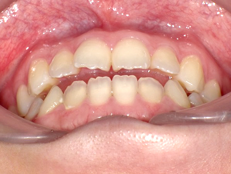
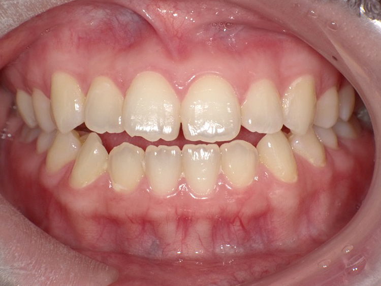
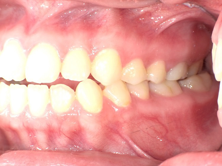
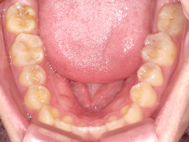
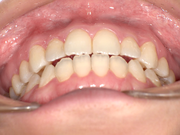
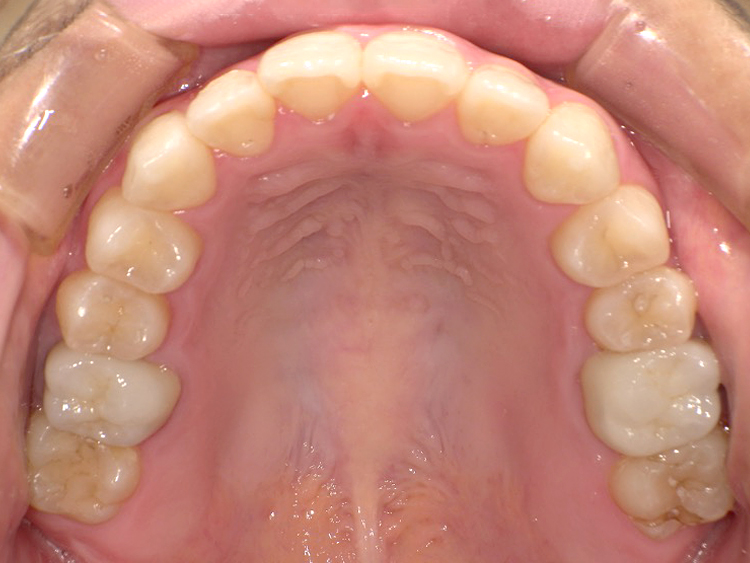
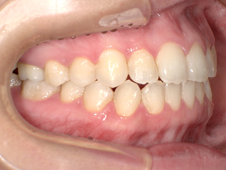
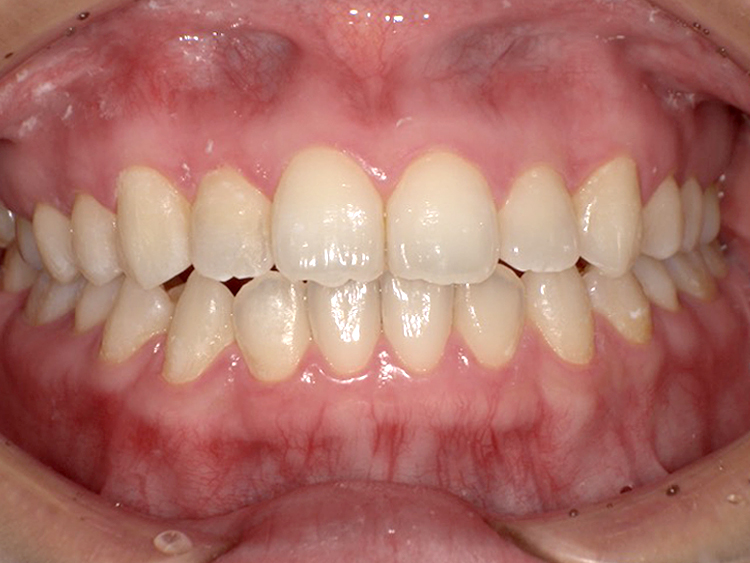
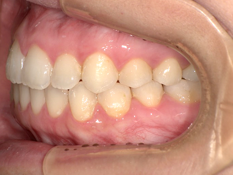
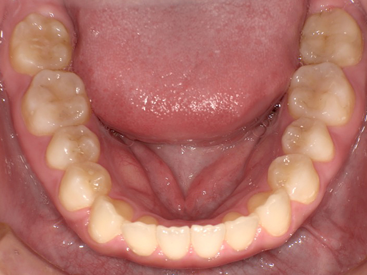
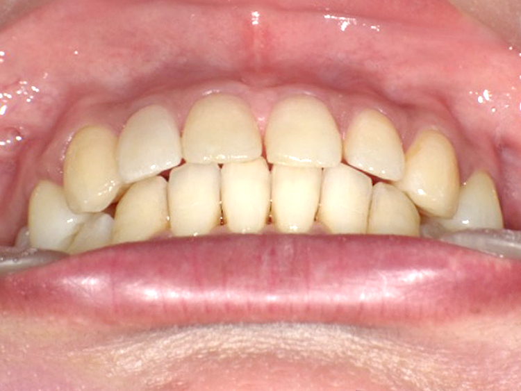
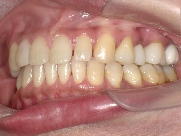
症例1
Before



After



| 主訴 | 上前歯の突出を治したい (出っ歯を治したい) |
|---|---|
| 年齢 | --- |
| 治療期間 | 約5ヶ月 |
| 治療内容 | インビザラインiGoで上顎のみ治療。 前歯の歯と歯の間をごく少量削り、 前に出ている歯が入るスペースを作り、綺麗に揃えた。 |
| 治療費 | ¥352,000(税込)+月額調整料 |
| 治療のリスク | 歯と歯の間を削ることでスペースを確保するので、 場合によっては歯が染みる症状が出ることがある。 |
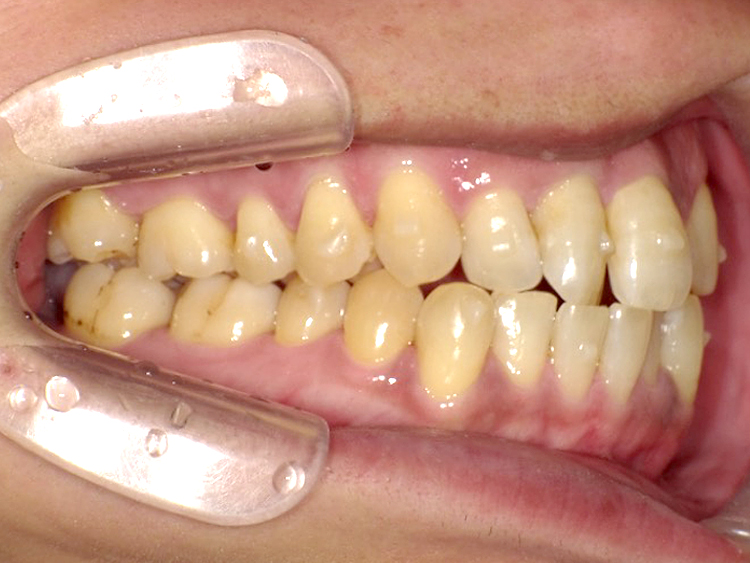
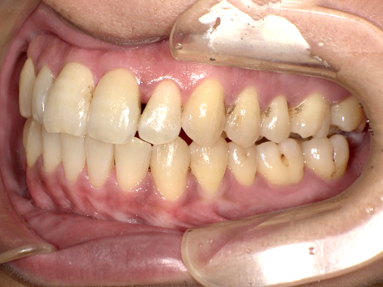
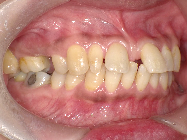
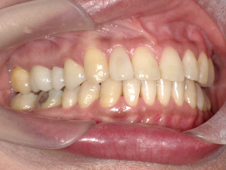
症例2
Before



After



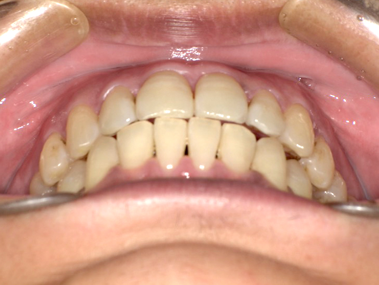
| 主訴 | 上前歯のガタガタを治したい |
|---|---|
| 年齢 | --- |
| 治療期間 | 約1年 |
| 治療内容 | インビザラインiGoで上顎のみ治療。 プチ矯正では前から3番目の歯は動かせないが、 この治療では動かすことができるので、 気になる箇所を綺麗に並べることができた。 |
| 治療費 | ¥352,000(税込)+月額調整料 |
| 治療のリスク | 歯と歯の間を削ることでスペースを確保するので、 場合によっては歯が染みる症状が出ることがある。 |
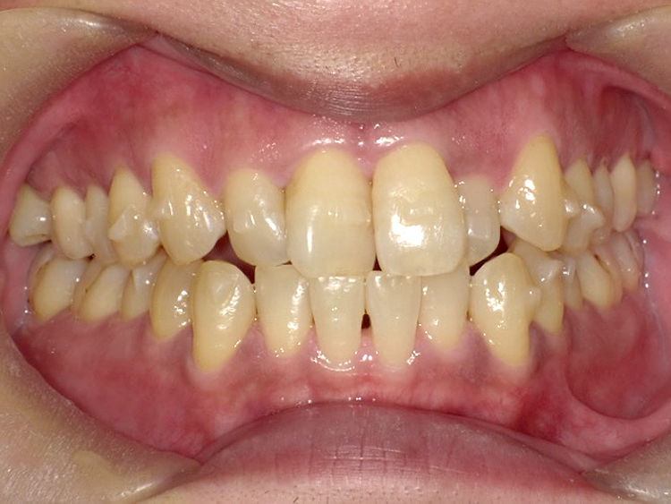
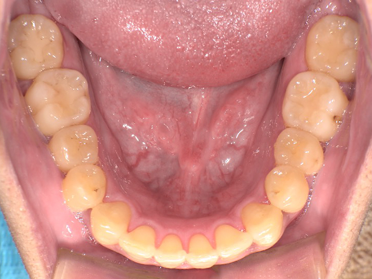
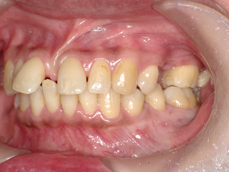
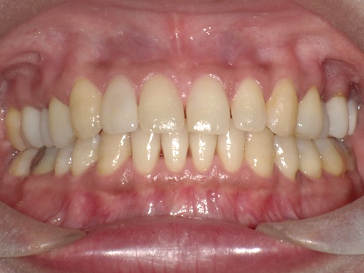
症例3
Before



After



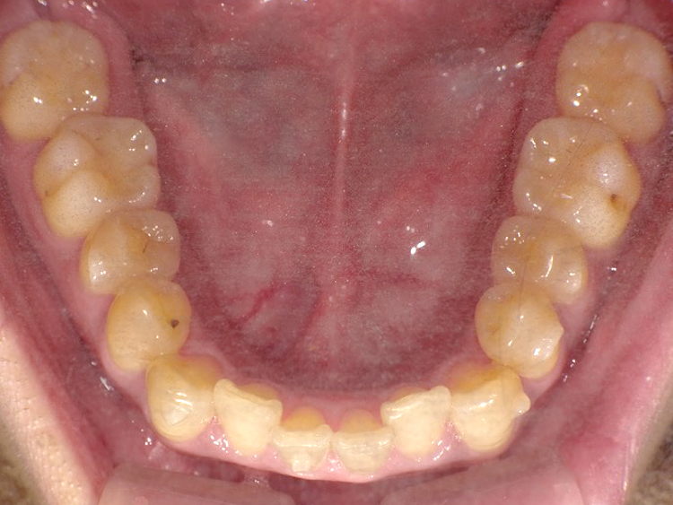
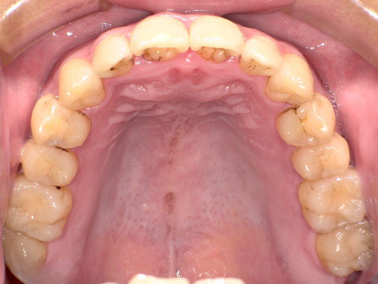
| 主訴 | 上下の歯のガタガタを治したい |
|---|---|
| 年齢 | --- |
| 治療期間 | 約10ヶ月 |
| 治療内容 | インビザラインiGoで上下顎の治療。 狭まっていた歯並びを広げることで、 ガタガタに並んでいた歯を綺麗に並べた。 |
| 治療費 | ¥517,000(税込)+月額調整料 |
| 治療のリスク | 歯と歯の間を削ることでスペースを確保するので、 場合によっては歯が染みる症状が出ることがある。 |
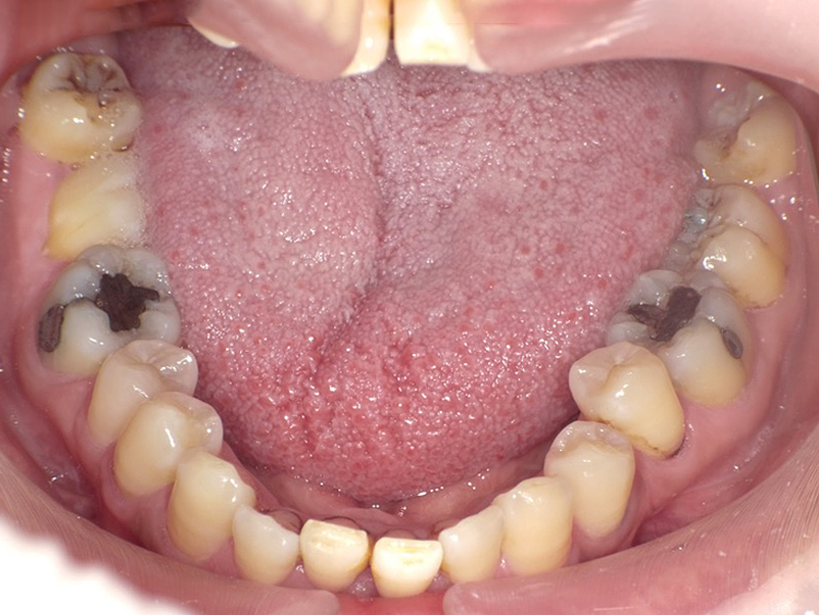
症例4
Before






After






| 主訴 | 上下前歯のがたつき |
|---|---|
| 年齢 | --- |
| 治療 期間 |
約9ヶ月 |
| 治療 内容 |
インビザラインiGoで上下顎の治療。 |
| 治療費 | ¥550,000(税込)/調整料含む |
| 治療のリスク | 矯正終了後は、リテーナーを指示通りに使用し、歯の後戻りを防ぐ必要があります。 |
症例5
Before






After






| 主訴 | 上下3-3の並びが気になる |
|---|---|
| 年齢 | --- |
| 治療 期間 |
約1年 |
| 治療 内容 |
インビザライン5-5 |
| 治療費 | ¥517,000(税込)/調整料含む |
| 治療のリスク | 奥歯を動かさないので、前に出して並べていく。 歯と歯が移動するスペースを作るので、知覚過敏の症状がまれにでる。 歯を動かすことで、歯茎が下がるリスクある。 矯正終了後は、リテーナーを使用し、後戻りを防ぐ必要がある。 |
症例6
Before






After






| 主訴 | 噛み合わせが気になる |
|---|---|
| 年齢 | --- |
| 治療 期間 |
約2年11ヶ月 |
| 治療 内容 |
インビザラインコンプリヘンシブ 右上6番・左上6番ALLセラミッククラウン |
| 治療費 | ¥1,116,000(税込)/調整料含む |
| 治療のリスク | 歯を動かすことで、歯茎が下がるリスクある。 矯正終了後は、リテーナーを使用し、後戻りを防ぐ必要がある。 |
症例7
Before






After






| 主訴 | 上の1-1の隙間気になる |
|---|---|
| 年齢 | --- |
| 治療 期間 |
約3年8ヶ月 |
| 治療 内容 |
インビザラインコンプリヘンシブ ラミネートべニア、ジルコニア補綴 |
| 治療費 | ¥1,925,000(税込)/調整料含む |
| 治療のリスク | 歯を動かすことで、歯茎が下がるリスクある。 矯正終了後は、リテーナーを使用し、後戻りを防ぐ必要がある。 |
