アクリル樹脂やラバー系の材料でできた、透明なマウスピースタイプの保定装置です。
取り外しが可能で、夜間のみ使用していただきます。
大阪でワイヤー矯正なら
ハシモトデンタルオフィス
肥後橋本院
理想の歯並びを諦めたくない、
本格的に矯正したい方へ
「出っ歯やガタガタを治したいけれど、
矯正はハードルが高い…」
そう感じて、部分矯正(プチ矯正)を検討される方は少なくありません。
確かに、目立つ前歯だけを短期間・低価格で整える部分矯正は魅力的です。
しかし、「実は部分矯正では対応できない
ケース」が非常に多いのも事実です。
全顎ワイヤー矯正の3つのメリット
- ほとんどの症例に対応可能 「矯正治療に踏み切れない…」部分矯正では断られてしまうような、重度の重なり、深い噛み合わせ、抜歯が必要なケースでも、全顎矯正なら理想的な位置へと歯を誘導できます。
- 「噛み合わせ」を整え、
歯の寿命を延ばす見た目だけでなく、上下の歯が正しく噛み合うように調整します。しっかり噛めるようになることで、将来的な歯の欠損リスクを減らし、全身の健康にもつながります。
- 横顔(Eライン)の変化まで
期待できる歯列全体を下げる、あるいは広げるといった緻密なコントロールができるため、口元の突出感の改善など、横顔のシルエットを整える効果も期待できます。
一時の安さで部分矯正を選んでも、噛み合わせが合わなかったり、すぐに後戻りして再治療が必要になれば、結果として費用も時間も余計にかかってしまいます。
当院では、「一生使い続ける大切な歯だからこそ、妥協のない治療」をご提案します。
お支払いについても、デンタルローン等を利用した分割払いが可能です。
月々の負担を抑えながら、一生モノの自信を手に入れませんか?
まずは無料カウンセリングで、あなたの歯並びが全顎矯正でどう変わるか詳しくお伝えします。
こんな「歯並びのお悩み」は
ございませんか?
- デコボコ
している - 受け口が
気になる - すきっ歯を
治したい - 口が
閉まらない - かみ合わせが
深い - 出っ歯で
悩んでいる
当院がオススメする
ワイヤー矯正で全て解決!
「ワイヤー治療」
無料矯正相談から治療の流れ
- 初診・無料矯正相談
歯並びやお口の状態に関するお悩みや、不安など何でもご相談ください。
患者様の疑問を解決し、治療方法、治療期間、料金について分かりやすく説明いたします。 - 検査
口腔内写真撮影、顔貌写真撮影、レントゲン撮影、模型採取、虫歯検査、歯周病検査など、矯正治療に必要な検査を行います。 - 検査結果と治療計画の説明
検査の結果をもとに、症例に適した治療計画と、具体的な治療期間、治療費について改めて説明いたします。
ご納得いただいた上で、次回から矯正治療を始めます。※お口の状態によっては、虫歯や歯周病などの治療を先に行う場合もあります。
- 歯を動かす治療

ワイヤー矯正は、歯の表面に「ブラケット」という小さな装置を固定し、そこに通したワイヤーの力を利用して歯を理想の位置へと導く方法です。 歯が動くのに合わせて、定期的にワイヤーの太さや形を微調整することで、一歩ずつ着実にゴールへと近づけていきます。
通院頻度については、お口の状態や治療の段階にもよりますが、概ね1ヶ月に1回が目安となります。
- 歯並びを安定させる
メンテナンス
歯並び・かみ合わせと保定装置のチェック、お口全体のクリーニング(歯石除去・着色の除去)や虫歯のチェックなどを行います。
動かした歯の回りの骨がしっかり固定され、状態が落着いたら終了です。
とは言え、歯並びは矯正の有無にかかわらず変化します。整えた歯並びが後戻りしないように、なるべく長期間の保定装置の使用と、定期的なメンテナンスをお勧めします。※メンテナンスの通院間隔は3~6ヶ月に1回です。
保定装置とは?
ブラケットとワイヤーを外した後に、移動した歯が元の位置に戻ろうとする、
「後戻り」を防止する『歯を動かさないための装置』です。
保定装置には、取り外しのできるタイプ(可撤式リテーナー)と、取り外しができないタイプ(固定式リテーナー)があります。
クリアリテーナー
リンガルボンデッドリテーナー
歯の裏側に細くて丈夫なワイヤーを接着して固定し、後戻りを防ぎます。
装置が小さくて目立ちにくいのが特徴です。
固定式なので取り外しは出来ませんが、保定に優れています。
保定装置の再作製について
| 保定装置の再作製料 | 5,500~22,000円(税込) |
|---|
ワイヤー矯正の治療費について
ワイヤー矯正の治療費
| ワイヤー矯正治療費 | 875,000円(税込) |
|---|
※上記は、おおよその治療費です。
実際の治療の際は、患者様のお口の状態により上記とは異なる場合もありますので、担当医もしくは、カウンセリングスタッフまでご相談ください。
初回矯正相談と
お支払い方法
ワイヤー矯正の
ご相談・お支払いについて
-
初回矯正相談
-
無料
ワイヤー矯正についてのご相談は初回は無料です。
レントゲンと口腔内の撮影・診断を行い、患者様に合った治療方法・治療期間・料金などのご提案をさせて頂きます。
ハシモトデンタルオフィスでは、クレジットカードでの分割払いや、月々のわずかなご負担で治療が受けられるデンタルローンを取り扱っています。ワイヤー矯正は医療費控除の対象にもなりますので、お気軽にご相談ください。
-
クレジットカード
-
交通IC
-
QR決済
各種キャッシュレス決済にも対応しております。保険診療は現金、自費診療はクレジットカード・デンタルローンでのお支払いとなります。(※お支払い時に受付までお問い合わせください。)
36回払いまで、
金利手数料0円!
金利手数料は当院が負担
ハシモトデンタルオフィスでは、月々のわずかなご負担で最適な治療を受けられる「デンタルローン」を取り扱っております。

※詳しくは医院へお問い合わせください。
36回払いまでなら、金利手数料は当院が負担いたします。(※ハシモトデンタルオフィスで治療を受けて頂ける方が対象となります)
ワイヤー矯正の治療症例
※本ページに掲載している金額は、治療実施当時の料金です。
現在の料金体系や保険適用状況とは異なる場合がございます。
記載内容はあくまで参考情報であり、最新の料金・治療内容については必ず事前に当院へご確認ください。
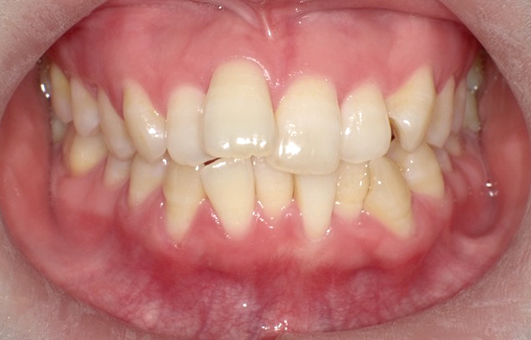
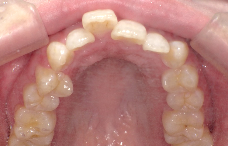
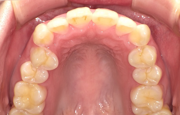
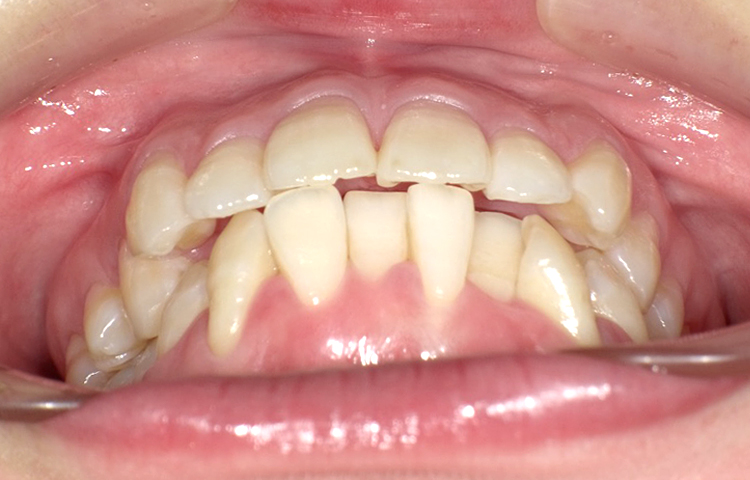
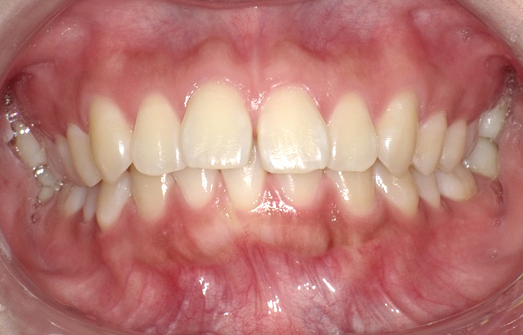
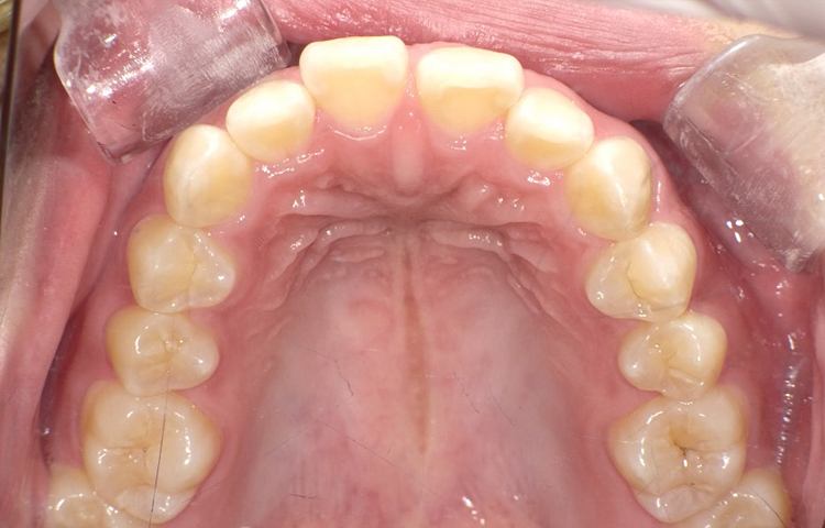
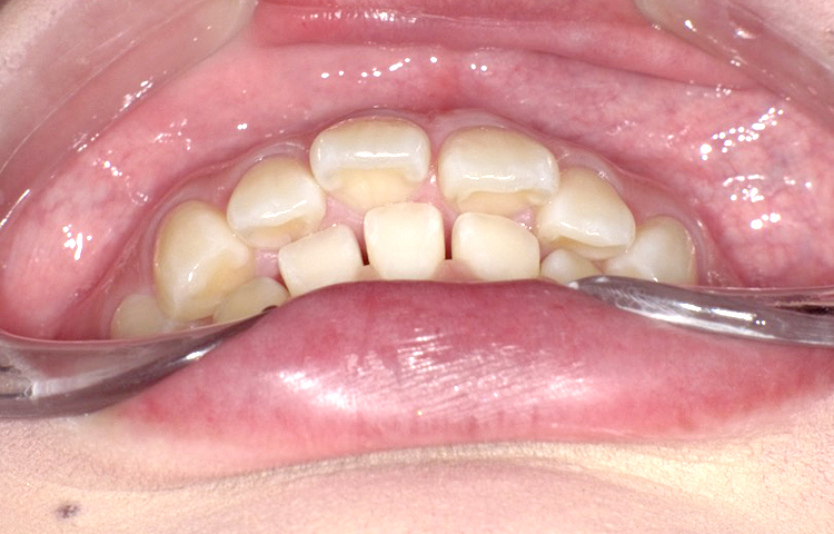
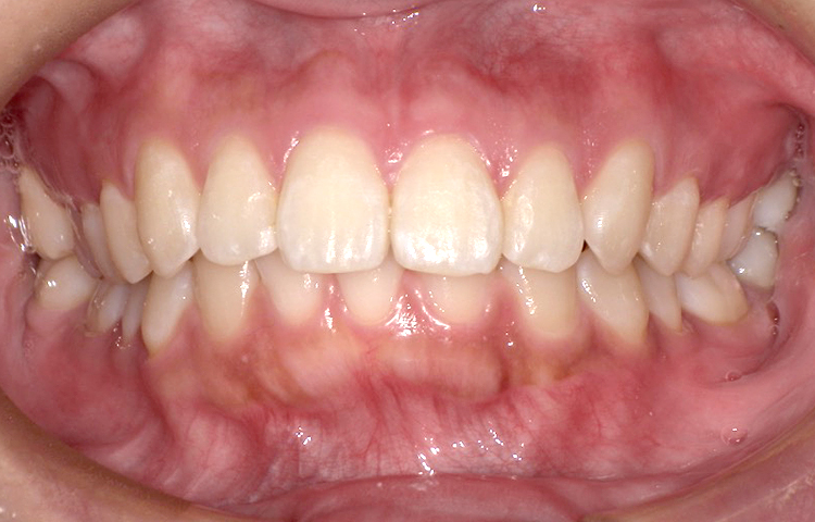
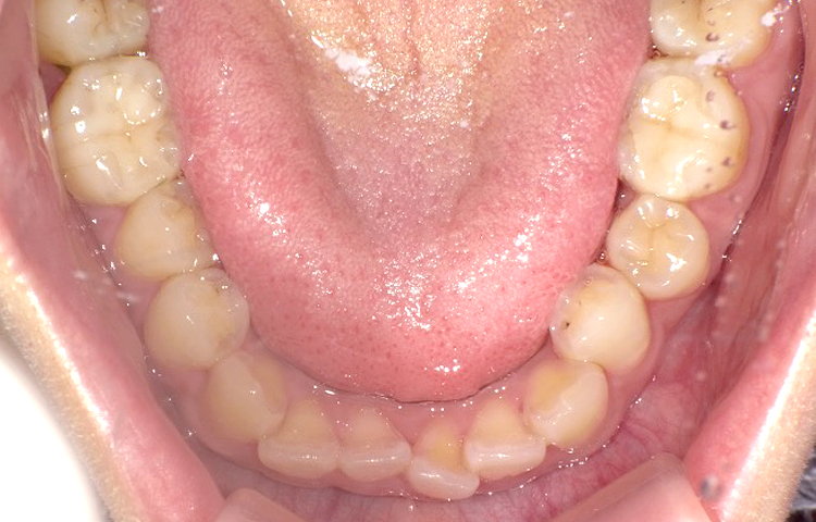
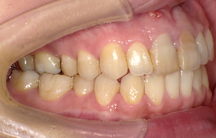
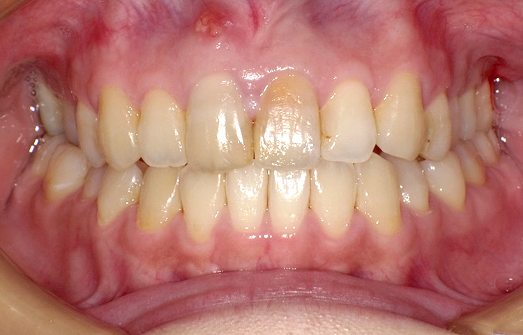
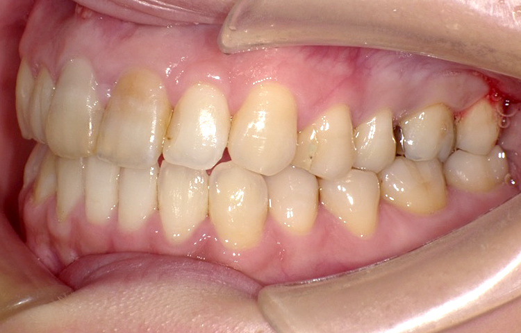
症例1
治療前





治療後





| 主訴 | 上下の前歯のゆがみ(叢生)を治したい |
|---|---|
| 治療 期間 |
約6ヶ月 |
| 治療費 | 330,000円(税込)/調整費用別途 |
| 治療 内容 |
ワイヤープチ矯正で上下の前歯の矯正治療を行った。 前歯の歯と歯の間をごく少量削り、前歯計8本の向きを揃えた。 見た目が綺麗になったことははもちろん、 磨きにくかったところが磨きやすくなった。 |
| 治療の リスク |
歯と歯の間を削ることでスペースを確保するので、 場合によっては歯が染みる症状が出ることがある。 |
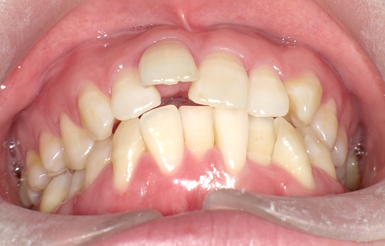
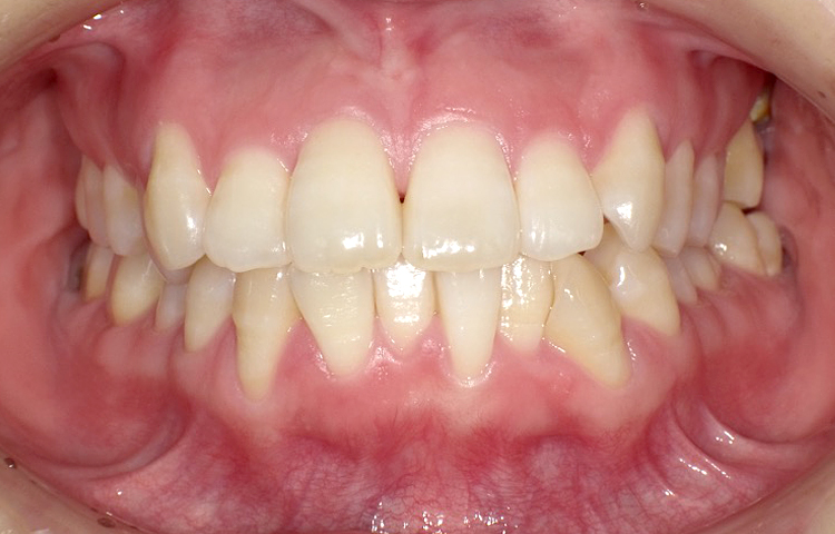
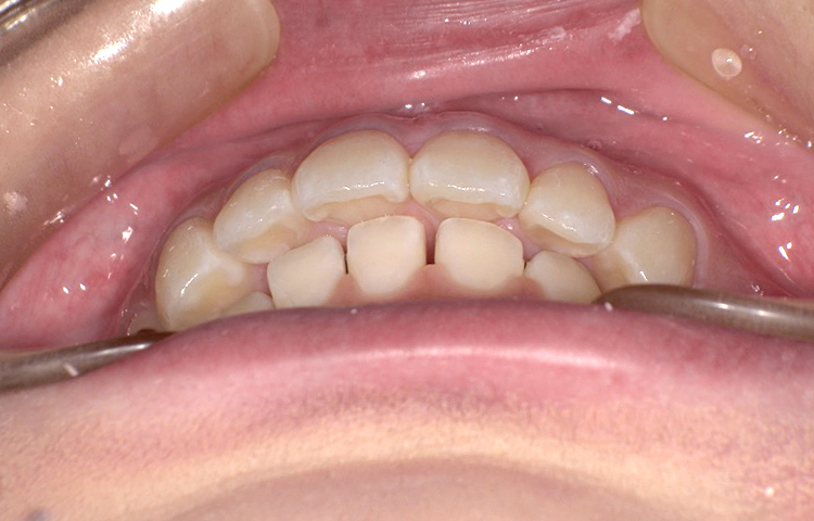
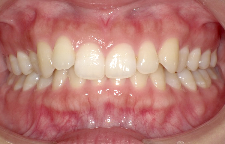
症例2
治療前
治療後
| 主訴 | 上の前歯のガタつきが気になるので前歯だけ綺麗にして欲しい |
|---|---|
| 治療 期間 |
約6ヶ月 |
| 治療費 | 165,000円(税込)/調整費用別途 |
| 治療 内容 |
上の前歯部にワイヤーを着けて進めていく、プチ矯正で施術。 |
| 治療の リスク |
見た目を綺麗にする目的で短期間で仕上げる為噛み合わせは矯正しない。 |
症例3
治療前
治療後
| 主訴 | 上下前歯全体の歯並びが気になる |
|---|---|
| 治療 期間 |
約6ヶ月 |
| 治療費 | 330,000円(税込)/調整費用別途 |
| 治療 内容 |
上下の前歯部にワイヤーを着けて進めていく、プチ矯正で施術。 |
| 治療の リスク |
固定の装置をつけないと後戻りしてしまう。 |
症例4
治療前



治療後



| 主訴 | 右上1番出ている 上のみ部分矯正希望 |
|---|---|
| 治療 期間 |
約8ヶ月 |
| 治療費 | 220,000円(税込)/調整費用別途 |
| 治療 内容 |
上の前歯部にワイヤーを着けて進めていく、プチ矯正で施術。 |
| 治療の リスク |
奥歯を動かさないので、前に出して並べていく。 歯と歯が移動するスペースを作るので、知覚過敏の症状がまれにでる。 装置による清掃の難しさから、歯肉炎や歯周病、虫歯の進行がするリスクが高まる。 歯を動かすことで、歯茎が下がるリスクある。 矯正終了後は、リテーナーを使用し、後戻りを防ぐ必要がある。 |
症例5
治療前



治療後



| 主訴 | 右上1番下げたい 1.1間隙間うめたい 上のみ部分矯正希望 |
|---|---|
| 治療 期間 |
約7ヶ月 |
| 治療費 | 175,000円(税込)/調整費用別途 |
| 治療 内容 |
上の前歯部にワイヤーを着けて進めていく、プチ矯正で施術。 |
| 治療の リスク |
奥歯を動かさないので前に出して並べていく。 歯を動かすことで、歯茎が下がるリスクある。 装置による清掃の難しさから、歯肉炎や歯周病、虫歯のリスクが高まる。 矯正終了後は、リテーナーを使用し、後戻りを防ぐ必要がある。 |
症例6
治療前



治療後



| 主訴 | 右上2番前にでてるのが気になる 上のみ部分矯正希望 |
|---|---|
| 治療 期間 |
約4ヶ月 |
| 治療費 | 247,500円(税込)/調整費用別途 |
| 治療 内容 |
上の前歯部にワイヤーを着けて進めていく、プチ矯正で施術。 |
| 治療の リスク |
奥歯を動かさないので前に出して並べていく。 歯を動かすことで、歯茎が下がるリスクある。 装置による清掃の難しさから、歯肉炎や歯周病、虫歯のリスクが高まる。 矯正終了後は、リテーナーを使用し、後戻りを防ぐ必要がある。 |
症例7
治療前





治療後





| 主訴 | 前歯2本出ているのが気になる |
|---|---|
| 治療 期間 |
約9ヶ月 |
| 治療費 | 412,500円(税込)/調整費用別途 |
| 治療 内容 |
上下の前歯部にワイヤーを着けて進めていく、プチ矯正で施術。 |
| 治療の リスク |
奥歯を動かさないので前に出して並べていく。 歯を動かすことで、歯茎が下がるリスクある。 装置による清掃の難しさから、歯肉炎や歯周病、虫歯のリスクが高まる。 矯正終了後は、リテーナーを使用し、後戻りを防ぐ必要がある。 |
ワイヤー矯正治療について
よくいただくご質問
Q、初回無料矯正相談の時間は
どのくらいかかりますか?
A、初回でのご相談は、30分前後です。
Q、家族で相談しても大丈夫ですか?
A、もちろん、可能です。ご家族そろってご相談いただけます。お一人おひとりに合わせた歯並びのご相談を丁寧に行っております。
Q、子供の矯正相談も可能でしょうか?
A、もちろん、可能です。お子さまの成長段階に合わせて、歯並びや矯正のご相談を承っております。
Q、相談だけも大丈夫でしょうか?
相談して一度検討してからお願いすることは可能でしょうか?
A、もちろん、可能です。納得いただくためのご相談の場をご用意しています。
「納得のいく選択」のために、まずは気軽なご相談から。
当院では、矯正治療を患者様の生涯にわたる健康を左右する、極めて重要なものと考えております。
強引な勧誘は一切ございません。皆様の不安や不明点を解消し、心から納得して治療を考えていただくための相談窓口です。
セカンドオピニオンも積極的に受け付けております。
「他院での説明に迷いがある」という方も、ぜひ一度当院へご相談ください。最善の選択を一緒に見つけましょう。
Q、すきっ歯なのですが、
部分矯正・ワイヤー矯正は可能でしょうか?
A、可能です。
Q、虫歯治療とワイヤー矯正治療の
同時進行は可能ですか?
A、原則、虫歯治療を行った後に矯正治療を行います。
但し、例外として違う部位の治療を同時に行うこともあります。
Q、部分矯正の治療後の通院は、
なぜ必要なのですか?
A、矯正治療をした後は、歯と骨の固定が完全ではないため、保定装置を使った固定が必要になります。
せっかくキレイに整えた歯並びが後戻りしていないか経過を見ていく必要があるため、通院をお願いしています。
Q、未成年の部分矯正は可能ですか?
A、部分矯正は、すべての歯が大人の歯(永久歯)に生え変わった方のみの治療になります。
乳歯が残っている方は、全顎矯正になる可能性が高いです。
Q、学生(未成年)で金銭面が心配です
A、院内ローン、デンタルローンでのお支払いが可能ですが、未成年の方ですと保護者の方にご契約頂くことになります。
Q、前歯1本だけの部分矯正でも、治療費は
同じですか?
A、1本だけ動かす場合でも、前歯6本に矯正装置をつける必要があるため1本でも2本以上でも治療費は変わりません。
